
Левая колонка
Последний визит: 06:05
Фильтр
поделилась публикацией
Рак молочной железы: 7 ранних симптомов. Интервью с онкологом
Рак молочной железы — это одно из самых распространённых онкологических заболеваний у женщин, но своевременная диагностика и лечение значительно повышают шансы на выздоровление. Мы поговорили с врачом-онкологом, чтобы разобраться в ранних симптомах и важности регулярных обследований. — Здравствуйте! Расскажите, почему так важно говорить о раке молочной железы? — Здравствуйте. Рак молочной железы сегодня — это не приговор. Медицина шагнула далеко вперёд, и мы можем успешно бороться с болезнью, если она выявлена на ранней стадии. Именно поэтому каждая женщина должна знать о ранних симптомах рака груди и не бояться обращаться к врачу. Чем раньше мы начинаем лечение, тем эффективнее оно будет. — Какие симптомы должны насторожить в первую очередь? — Чаще всего женщины обращают внимание на уплотнение в груди. Это самый известный симптом, но далеко не единственный. Важно регулярно проводить самообследование молочных желёз и обращать внимание на любые изменения. — Давайте подробнее поговорим о
Показать еще
0 комментариев
4 раза поделились
59 классов
- Класс
поделилась публикацией
Киста в молочной железе
Кисты молочной железы – это жидкостные образования, которые обычно являются доброкачественными. Многие женщины опасаются онкологии, когда у них на снимках выявляют кисты. Мы расскажем, какие из них опасны, какие – нет, и как провериться, чтобы перестраховаться. Кисты бывают простые (однокамерные) и сложные (многокамерные). Простые обычно доброкачественные, риск развития рака они не увеличивают. Многокамерные отличаются тем, что они: Атипичные кисты – самые опасные. Настолько опасные, что при их обнаружении врачи проводят биопсию для исключения рака. Женщинам с атипичными кистами предлагают операцию по их удалению. Протоковые кисты или внутрипротоковые папилломы – тоже могут трансформироваться в рак. Они не являются кистами по своей сути, но могут выглядеть точно так же. Сама папиллома является плотной опухолью, но она блокирует проток, который затем расширяется и имитирует кисту. Независимо от того, какие изменения обнаружены на снимках молочных желёз, а также независимо от способа обн
Показать еще
1 комментарий
4 раза поделились
99 классов
- Класс
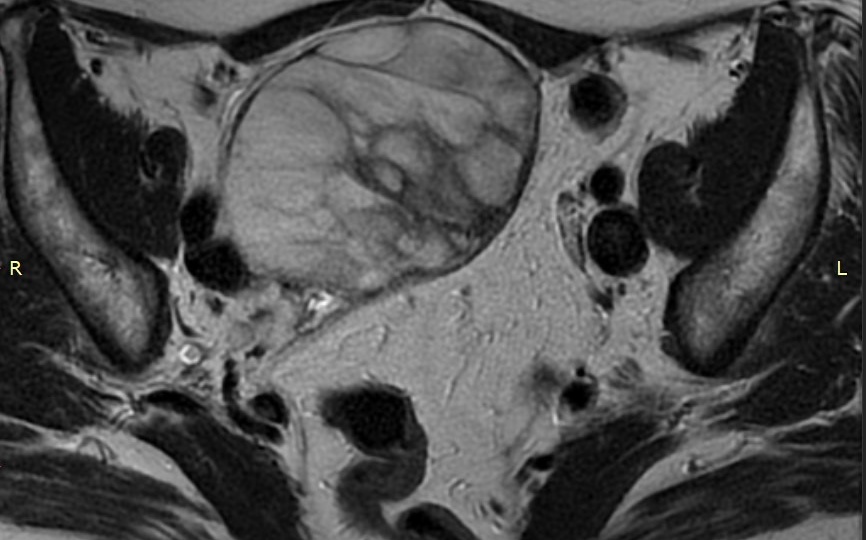
поделилась публикацией
Кисты яичников
Киста яичника представляет собой заполненное жидкостью образование, которое развивается в яичнике и может быть разных размеров и структуры. Это довольно распространённое явление у женщин, особенно в репродуктивном возрасте. Образования яичников являются четвертой по распространенности причиной госпитализации в гинекологические стационары в мире. Кистой яичника в обиходе принято называть любое образование в яичнике кроме злокачественного (рака). Однако разновидностей “кист”, то есть их гистологических типов, существует весьма большое количество. Вместе с тем, доподлинно определить по данным осмотра, УЗИ или МРТ, какой именно вид кисты имеет та или иная пациентка, удается не всегда. В данной статье мы постараемся составить общее представление о методах диагностики и подходах к лечению именно при доброкачественных образованиях яичников. Кисты в яичниках бывают разные и их вид будет напрямую связан с причиной их развития [1]. Принципиально такие образования могут быть функциональными или п
Показать еще
1 комментарий
4 раза поделились
49 классов
- Класс
поделилась публикацией
Как не допустить рака шейки матки
Среди онкологических заболеваний у женщин в нашей стране рак шейки матки занимает второе место по распространенности. По статистике, от этого заболевания каждые 17 минут умиpaeт одна женщина. Откуда это все берется?
Установлено, что развитие рака шейки матки происходит из-за инфицирования вирусом папилломы человека (ВПЧ) высокого онкогенного риска. Разновидностей этого вируса очень много, около двух десятков, но с раком шейки матки, в первую очередь, ассоциировано заражение 16 и 18 типами ВПЧ. ВПЧ чаще всего передается половым путём, поэтому рак шейки матки нередко встречается у совсем молодых женщин. Но пик заболеваемости приходится на женщин после 55 лет. Причина - общее ухудшение состояния здоровья, снижение иммунной защиты, особенно на фоне гормонального дефицита.
❗Рак шейки матки не относится к гормонозависимым заболеваниям и не связан с уровнем гормонов. Но дефицит гормонов в менопаузе ухудшает общую сопротивляемость организма к любым заболеваниям, в том числе и онкологически
Показать еще
29 комментариев
17 раз поделились
344 класса
- Класс
поделилась публикацией
Еще не рак, но внимания требует - что такое дисплазия шейки матки и нужно ли ее лечить
Дисплазия шейки матки – это атипические изменения эпителия влагалищной части шейки матки, относящиеся к неоплазиям, своего рода пред-онкологическое состояние. В ранних стадиях процесс дисплазии является обратимым, излечимым. Дисплазия затрагивает клеточные структуры тканей в области шейки матки, является не воспалительным процессом. Заболевание регистрируется у женщин в возрасте от 25 до 35 лет. Встречается с частотой 1-2 случая на 1000 женщин. Причины К основным причинам, вызывающим дисплазию шейки матки относят инфицирование онкогенными вирусами ВПЧ (вирус папилломы человека). Их выявляют у 98% пациенток при дисплазии. Длительное нахождение в теле и внутри клеток данного вируса приводит к изменению в строении клеток и развитию дисплазии. Предрасполагающими факторами к развитию дисплазии относят: - иммунодефициты разного происхождения, стрессы, воздействие медикаментов, нерациональное питание - вредные привычки (курение, алкоголь) - затяжные или хронические воспалительные процессы в о
Показать еще
1 комментарий
14 раз поделились
117 классов
- Класс
поделилась публикацией
Рак шейки матки — на какие симптомы стоит обратить внимание? Можно ли предотвратить проблему?
Рак шейки матки — одно из наиболее распространенных онкологических заболеваний среди женщин. Он занимает четвёртое место в мире по частоте встречаемости злокачественных опухолей у женщин. По данным ВОЗ, ежегодно регистрируется сотни тысяч новых случаев, и в России показатели заболеваемости продолжают расти. Опасность этого заболевания заключается в том, что на начальных стадиях оно может протекать бессимптомно. Именно поэтому так важно знать о методах скрининга и первых признаках, которые могут свидетельствовать о проблеме. Разбираемся в вопросе с врачами Кунцевского центра Evolutis Clinic. Интересно, что в некоторых странах число новых случаев сокращается, но в России количество случаев заболевания продолжает расти, и прогнозы остаются неутешительными. По данным экспертов, к 2030 году число заболевших может значительно увеличиться, особенно среди женщин в возрасте от 40 до 49 лет. Рост заболеваемости во многом связан с прекращением масштабных программ скрининга, которые ранее позволял
Показать еще
113 комментариев
104 раза поделились
1.1K классов
- Класс
На этом пока всё
Войдите в ОК, чтобы посмотреть всю ленту
53
- Светик ИсмагзамоваЕкатеринбург
- Юля ТихоненкоЕкатеринбург
- Эльвина Сабироваг. Михайловск (Нижнесергинский район)
- Саодат ШаетдиноваЕкатеринбург
- Алина МусафиковаЕкатеринбург
25
- Михайловская барахолка.8568 подписчиков
- МКОУ СОШ п. Красноармеец291 подписчик
- Нижнесергинское городское поселение17 подписчиков
- Здоровье с Еленой Малышевой468653 подписчика
- Нижние Серги6350 подписчиков