
Фильтр
Могут ли восьмые зубы вызывать дисфункцию ВНЧС?
Давайте разбираться, что на самом деле говорят научные данные. Начнём с работ, которые утверждают, что ретинированные восьмые зубы действительно могут вызывать дисфункцию височно-нижнечелюстного сустава (ВНЧС). Например, одно из таких исследований приходит к выводу, что связь есть. Но если копнуть глубже — всё становится не так однозначно. В исследовании нет контрольной группы. Взяли 80 человек, проверили, у кого есть ретинированные восьмые зубы и просто посмотрели, какие у них есть жалобы. На что это похоже? По сути — на обычное наблюдение. Если бы взяли ещё 80 человек без ретинированных зубов, с высокой вероятностью получили бы примерно те же самые жалобы. Просто потому, что дисфункция ВНЧС в популяции встречается довольно часто. Вывод: исследование не доказывает причинно-следственную связь. Оно лишь показывает, что у части людей есть и восьмые зубы, и жалобы. Здесь уже есть попытка сделать всё правильно: есть группа с ретинированными восьмыми зубами, есть группа без них. И что в ито
Показать еще
- Класс
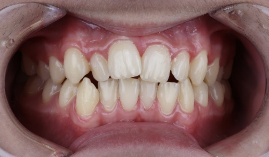
Влияют ли зубы мудрости на скученность резцов?
В последнее время всё чаще можно услышать теорию о том, что скученное положение резцов возникает из-за давления восьмых зубов. Многие ортодонты даже назначают удаление зубов мудрости — как прорезавшихся, так и ретинированных — ещё до или во время ортодонтического лечения, чтобы «предотвратить» скученность в будущем. Но насколько это оправдано? Что говорит доказательная медицина? Давайте разбираться. Скученность — это состояние, при котором передние зубы (резцы) располагаются неровно, «налезают» друг на друга, формируя эффект гармошки. На снимках и КТ это выглядит достаточно наглядно: зубы смещаются, поворачиваются и теряют правильное положение в зубной дуге. Часто можно заметить, что у таких пациентов присутствуют ретинированные восьмые зубы. Отсюда и появилась популярная теория. Считается, что зуб мудрости якобы оказывает давление на соседние зубы, передавая его дальше — как по эффекту домино — вплоть до переднего участка. Звучит убедительно, но… В восьмом зубе нет никакого «мотора» и
Показать еще
- Класс
Ретинированные восьмые зубы: правда ли они такие опасные?
Именно непрорезанные, ретинированные восьмёрки, как правило, наделяют почти «магической злой силой». Но что же это за сила такая? Считается, что: Звучит тревожно. Но давайте разберёмся — насколько это правда и как часто это вообще происходит. Если опираться не на слухи, а на исследования, ситуация выглядит иначе: Проблемы, связанные с восьмыми зубами, возникают примерно в 12% случаев. Для сравнения: Но ведь никто не предлагает удалять аппендикс или желчный пузырь «на всякий случай». Так почему тогда обсуждается профилактическое удаление восьмых зубов? Разберёмся по фактам и процентам: 1. Рассасывание корня седьмого зуба Да, это возможно, но встречается примерно в 4,78% случаев — то есть довольно редко. 2. Кисты Ещё реже — около 1,6% случаев 3. Перикоронит (воспаление капюшона) Самое частое осложнение — около 8% 4. Кариес седьмого зуба Вот здесь интереснее: Почему такая разница? Ключевой фактор — наклон восьмого зуба. 👉 Чем сильнее зуб наклонён — тем выше риск проблем
👉 Чем положение
Показать еще
Добавлено видео
1:09:03
- Класс
Клинический случай: когда «гнатологическое лечение» становится проблемой
Сегодня хотим поделиться с вами уникальным клиническим случаем гнатологического невежества. И ортодонтического — как «приятное» дополнение. Пациентка обратилась к нам по направлению челюстно-лицевого хирурга с вопросами: "Нужно ли ей проходить подготовку к ортогнатической операции? Можно ли выдвигать нижнюю челюсть — или ограничиться только пластикой подбородка?" Хирурга смутило противоречие: у пациента идеальный прикус (I класс) и выдвигать челюсть по зубам некуда, а по профилю — есть куда. А это уже звоночек. Для выдвижения нижней челюсти вперёд обычно нужен зазор между зубами — пространство, куда челюсть можно «переместить». Здесь этого не было. Зубы ровные, смыкание хорошее, пациентка уже 2 года в ортодонтическом лечении, но при этом — недовольство эстетикой лица. Это было не первое ортодонтическое лечение. Между ними пациентка проходила гнатологическое лечение: носила капу, лечила щелчок. Ещё на зубах остались «удерживающие накладки», чтобы ночью челюсть не уходила назад. То есть
Показать еще
Добавлено видео
06:40
- Класс
Добавлено видео
09:46
- Класс
Ретейнеры после брекетов: зачем они нужны и могут ли навредить?
Что такое ретейнеры и Зачем они вообще нужны? Сразу начнем с важного факта: 100% случаев законченного ортодонтического лечения склонны к рецидиву. С одной стороны, ретейнер — это конструкция, которая замечательно удерживает результат лечения. Но с другой стороны — это элемент, с которым нужно быть очень аккуратным. Есть ретейнеры, которые реально могут навредить. Например, при определенных анатомических особенностях пациента верхний ретейнер просто сбивается нижними зубами. Дорогие пациенты, ваше ортодонтическое лечение после снятия брекетов либо элайнеров не заканчивается. По учебникам начинается ретенционный период. Он состоит в том, что пациент носит ретейнеры. Ретейнер — это удерживающая конструкция или аппарат, который стабилизирует положение зубов и удерживает их в новом положении. И еще раз важный момент: 100% случаев законченного ортодонтического лечения склонны к рецидиву. Поэтому ретейнеры нужны всем пациентам в каком-то виде. Ретейнеры делятся на два основных типа: Разберем
Показать еще
Добавлено видео
06:55
- Класс
загрузка
Показать ещёНапишите, что Вы ищете, и мы постараемся это найти!
Левая колонка
О группе
Врач стоматолог ортодонт. Главный врач клиники «ЭКСПЕРТНАЯ СТОМАТОЛОГИЯ ДОКТОРА МАРКОВА.» Заведующий отделения ортодонтии, стоматологии и челюстно-лицевой реабилитации в ФНКЦ им. Д. Рогачёва.
🔹️Доктор Медицинских Наук
🔹️Опыт 20 лет
🔹️5 специальностей в стоматологии
Показать еще
Скрыть информацию